Een team van de TUe, onder leiding van universitair hoofddocent Fons van der Sommen, gebruikte als eerste de rekenkracht van de nieuwe supercomputer SPIKE-1. Het team trainde een zogenoemd foundation model, een basismodel waarop andere, gespecialiseerdere AI-toepassingen kunnen voortborduren.

De onderzoekers gebruikten self-supervised learning, waarbij het model zelfstandig verbanden leert te leggen tussen beelden en teksten zonder dat een mens elk voorbeeld afzonderlijk hoeft te labelen. De bruikbaarheid van deze methode testen en doorontwikkelen was onderdeel van het onderzoek. De TU/e stelt het AI-model nu wereldwijd beschikbaar aan universiteiten, ziekenhuizen en bedrijven, zodat zij het kunnen doorontwikkelen voor hun eigen medische toepassingen, juist als zij zelf niet beschikken over een eigen supercomputer.

De onderzoekers voedden het model met zo’n 250.000 driedimensionale CT-scans en 75.000 radiologierapporten uit publieke medische databanken. “Je kunt het zien als het enten van een plant,” zegt Van der Sommen, verbonden aan de onderzoeksgroep Architectures for Reliable Image Analysis (ARIA) en het Eindhoven Artificial Intelligence Systems Institute (EAISI). “Wij leveren de stam waaruit anderen hun eigen medische AI-modellen kunnen laten groeien. Daarmee verlagen we de drempel voor innovatie en samenwerking in de zorg, want lang niet iedereen heeft de beschikking over de rekenkracht en capaciteit die wij hebben.”

Lees het hele bericht op de site van de TUe.

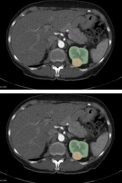
Voorbeeld: de AI-voorspelling (boven) en de door artsen ingetekende ‘ground truth’ (onder) van dezelfde nierscan overlappen volledig. Het model herkent het gezonde nierweefsel (groen) en de tumor (geel) precies zoals een arts dat deed. De AI had de scan niet eerder gezien. Beeld: TUe.
Deel via: